• 56797968, 5538899860
  • Rancho la Estrella #1
  • info@embryokaf.com.mx

Clínica privada
INICIO
QUIÉNES SOMOS
SERVICIOS
Inseminación Intrauterina
Fertilización In Vitro
Cirugía Laparoscópica y Reproductiva
Cirugía Histeroscópica
Donación de Esperma
Donación de Óvulos
Laboratorio y Clínica de Andrología
Selección de Sexo
Preservación de la Fertilidad
TÉCNICAS
COSTOS
CONTACTO
BLOG
CASOS DE ÉXITO
Más

 

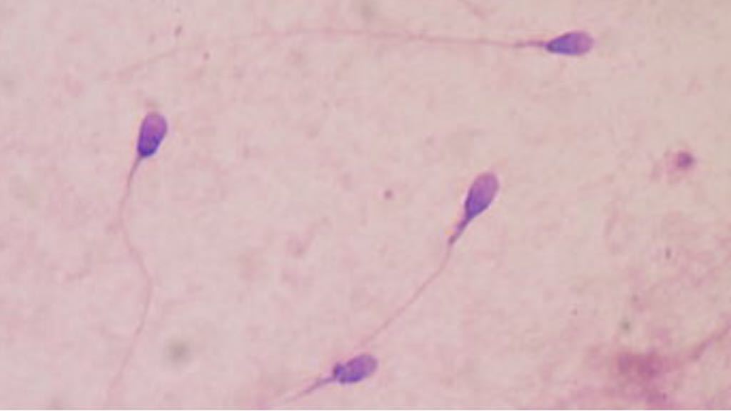
Laboratorio y Clínica de Andrología 

En esta área se estudian y analizan todos los aspectos relacionados con la función sexual y la reproducción masculina, criopreservación de semen y fragmentación de ADN.

 

HAGA SU CITA
INICIO
QUIÉNES SOMOS
SERVICIOS
Inseminación Intrauterina
Fertilización In Vitro
Cirugía Laparoscópica y Reproductiva
Cirugía Histeroscópica
Donación de Esperma
Donación de Óvulos
Laboratorio y Clínica de Andrología
Selección de Sexo
Preservación de la Fertilidad
TÉCNICAS
COSTOS
CONTACTO
BLOG
CASOS DE ÉXITO
Más

Clínica privada
Galería